Maximum Intensity Projections (MIP)

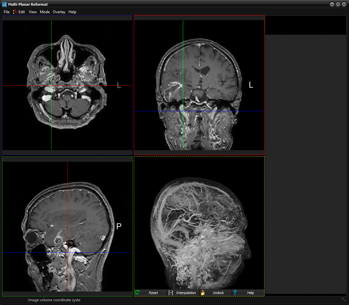
MIPs can be generated from the Multi Planar Reformat window (Process-> Multi Planar Reformat) by selecting the MIP option from the Mode menu.

By default, the MIP window will appear in the lower right quadrant:

Maximum intensity projection within the MPR window.

The MIP viewer contains the following buttons:

Reset

Reset the transformations applied in the MIP viewer.

Interpolation

Toggle between linear (default) and nearest neighbor interpolation.

Undock

Undock the MIP viewer from the MPR window. When undocked the Undock button is changed to Dock so that the MIP viewer may be redocked into the MPR window.

Help

Display the Users Manual's dialog box section on MIP

 

Related topics:

Multi-Planar Reformat (MPR)
Maximum Intensity Projection (MIP)