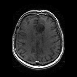
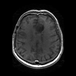
Median Filtering

Median filtering is a noise
reduction method where each pixel is replaced by the median value within the
sliding window.
Sliding window size: Size (in pixels) of square sliding window. This
determines the local area of the image used to calculate each intensity
histogram distribution. Values > 5 may result in very blurry images.
Sample case:
 
Figure 1 Original image (left) and same image after median
filtering with Window size= 3 (right)

|