Adaptive Histogram Equalization

Adaptive histogram equalization
(AHE) is an image processing technique where several image histograms are generated
by moving a sliding window across the image and use the generated histograms
to redistribute the image intensities in the image. AHE is useful for
improving local contrast and enhancing local edges.
Sliding window size: Size (in pixels) of square sliding window. This
determines the local area of the image used to calculate each intensity
histogram distribution.
Clip factor: Factor
used to reduce the contrast enhancement in background regions with uniform
graylevel, where a full equalize only would enhance noise. Clipping is
performed by counting histogram classes only up to a certain level:
Clipfactor = 0: no clipping (noise may be
severely enhanced)
Clipfactor = 100: Histogram cells clipped
at 3*(median histogram)
Clipfactor = very large: Maximum clipping,
cells count at most 1
Sample cases:

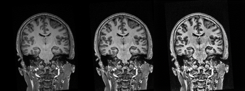
Figure 1 Original image (left). AHE processed with Window
size= 30 and Clipfactor = 300 (centre) and with Clipfactor=100 (right)
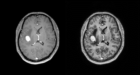
Figure 2. Original contrast enhanced T1-weighted SE
image (left) and AHE processed (right) with sliding window size=10 and
Clip factor=300
|
|


|